


목 차
1.암의 종류와 생존율
2.폐암 치료와 관리 방법
3.항암 치료에 대한 논란
4.암 예방을 위한 필수 음식
5.건강한 식사 조합
6.건강한 생활 습관
7.폐 건강을 위한 호흡법
8.면역력과 암 예방
암연구의 필요성 암은 많은 사람들에게 죽음의 공포로 인식됩니다. 특히 **말기 폐암의 생존율이 2%**로 매우 낮아, 효과적인 예방과 치료 방법을 찾는 것이 필수적입니다. 하지만 현재 항암 치료의 효과가 제한적이라는 점에서, 무조건 항암 치료를 받아야 한다는 주장에는 논란이 있습니다.
암을 이긴 사람들의 경험을 보면, 장내 유해균을 줄이고 유익균을 유지하는 것이 암 예방에 큰 영향을 미친다고 합니다. 이러한 관점에서 식이요법이 중요한 역할을 한다고 볼 수 있습니다.
1. 암의 종류와 생존율
암은 발생 부위에 따라 다양한 종류로 나뉘며, 생존율 역시 각기 다릅니다.
| 암 종류 | 평균 생존 기간 | 주요 특징 |
| 췌장암 | 3개월 내외 | 치료가 어려운 대표적인 암 |
| 갑상선암 | 5년 이상 | 상대적으로 생존율이 높음 |
| 유방암 | 3년 치료 과정 | 비교적 치료 가능성이 있음 |
| 폐암 | 5년 관찰 필요 | 장기적인 관리가 필수적 |
일반적으로, 췌장암은 종양 크기가 5cm에서 1cm로 줄어드는 데 약 1년이 걸리며, 유방암과 자궁암은 평균 3년의 치료 과정이 필요합니다. 폐암은 5년 동안 지속적인 관찰과 관리가 요구됩니다.
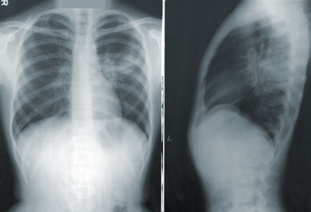
2. 폐암 치료와 관리 방법
폐암 치료에는 장기적인 폐 청소와 관찰 과정이 포함됩니다. 치료가 성공하면 5년 후 완치 판정을 받을 수 있습니다.
폐에는 먼지가 많이 쌓이는데, 이로 인해 치료가 어려워질 수 있습니다. 특히 끈끈한 가래가 기침으로 배출되지 않는 경우가 많습니다. 하지만 폐 청소용 물을 마시면 가래가 부드러워져 배출이 쉬워질 수 있습니다.
3. 항암 치료에 대한 논란
항암 치료에 대한 의견은 분분합니다. **말기 폐암의 생존율이 2%**로 낮기 때문에, 무조건 항암 치료를 받아야 한다는 주장에는 반대 의견도 존재합니다.
일본에서 진행된 연구에 따르면, 암 전문 의사들 중 다수가 자신이 암에 걸렸을 때 항암제를 사용하지 않는다고 응답했습니다. 대신, 채식 위주의 생활을 선택하는 경향이 있었습니다.
4. 암 예방을 위한 필수 음식
암을 이긴 사람들은 특정 음식을 반드시 섭취해야 한다고 강조합니다.
| 음 식 | 주요 효능 |
| 생 강 | 항산화 작용, 면역 체계 강화 |
| 버 섯 | 베타글루칸 함유, 면역력 향상 |
| 현 미 | 비타민 및 미네랄 풍부, 감염 예방 |
| 소고기 | 아연 함유, 면역력 유지 |
이 외에도, 전통 한약이 암 예방과 치료에 도움을 줄 수 있습니다.
5. 건강한 식사 조합
균형 잡힌 식사는 암 예방에 필수적입니다.
✅ 생강을 넣은 소고기 볶음
생강이 소고기의 잡냄새를 없애고 지방을 녹이는 효과
✅ 버섯을 넣은 현미밥
현미의 건강 효능을 극대화하며 부드러운 식감 제공
✅ 전통 한약 활용
사삼, 창이자 등 한약재를 활용하여 면역력 강화
※ 전통 한약의 효능
| 한 약 재 | 주요 효능 |
| 사 삼 | 폐 질환 치료, 천식 및 마른기침 완화 |
| 창이자 | 부비동염, 기침, 두통 완화 |
| 신화(목련 꽃봉오리) | 찬 기운 해소, 면역력 강화 |
6. 건강한 생활 습관
암 예방을 위해 다음과 같은 건강 습관을 실천해야 합니다.
1️⃣ 기상 후 물 마시기(밤 동안 쌓인 독소 배출)
2️⃣ 스트레스 관리(면역력 저하 예방)
3️⃣ 수면의 질 개선(스마트폰 사용 줄이기, 방의 조명 조절)
7. 폐 건강을 위한 호흡법
폐 건강을 유지하려면 올바른 호흡법이 필수적입니다.
✔️ 복식 호흡(폐활량 증가, 혈액순환 개선)
✔️ 산에서 운동하기(심폐 기능 강화)
✔️ 심호흡 연습(하루 10분 이상 실시)
| 호 흡 법 | 주요 효과 |
| 복식 호흡 | 폐활량 증가, 위장 자극 |
| 심 호 흡 | 혈액순환 촉진, 면역력 강화 |
| 산소 공급 운동 | 심폐 기능 향상, 스트레스 해소 |
8. 면역력과 암 예방
면역력이 강할수록 암 예방이 쉬워집니다. 건강한 백혈구가 유익균을 통해 나쁜 균을 물리치는 역할을 하기 때문입니다.
🌿 암에 걸리지 않았다면, 유익균을 늘려 암 발생을 예방할 수 있습니다.
🌿 암이 발생한 경우에도, 면역력이 회복되면 암을 극복할 가능성이 높아집니다.
암은 더 이상 죽음의 병이 아닙니다. 면역력을 키우고 건강한 생활 습관을 유지한다면 암을 예방하고 극복할 수 있습니다.
🔍 혈당과 비만 그리고 암의 관계 🔍
혈당과 암, 당뇨, 비만의 관계, 혈당 스파이크와 인슐린 저항성? 다이어트 성공의 핵심은 혈당 관
목 차1. 혈당 관리가 핵심이다2. 혈당의 정의와 중요성3. 혈당과 암의 관계4. 만성 염증과 당분 섭취의 관계5. 당뇨와 합병증 혈당 관리는 필수?6. 혈당 다이어트가 필요한 이유7. 인슐린 저항성
mountolive153.com














